
Ostroga piętowa
Ostroga piętowa to bolesna dolegliwość wywołana przewlekłym przeciążeniem rozcięgna podeszwowego i złogami mineralnymi w obrębie kości piętowej, która utrudnia chodzenie i codzienne funkcjonowanie. W naszych gabinetach w Rzeszowie oferujemy kompleksową diagnostykę (USG, RTG), leczenie bólu pięty oraz zabiegi rehabilitacyjne ukierunkowane na usunięcie stanu zapalnego, poprawę pracy stopy i trwałą poprawę komfortu chodzenia.
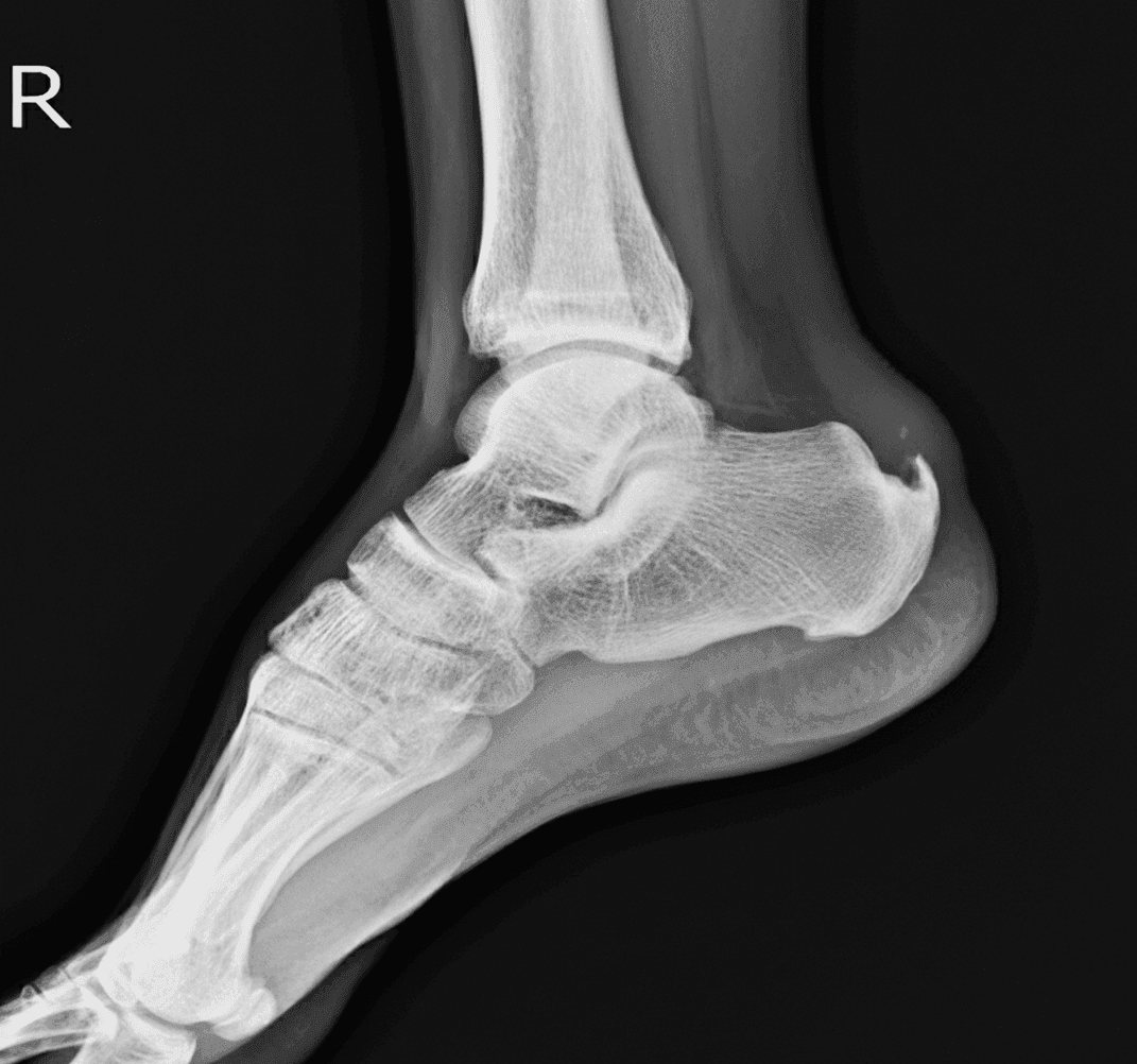
Czym jest ostroga piętowa?
Ostroga piętowa, nazywana także entezopatią rozcięgna podeszwowego, to przewlekły stan przeciążeniowy w okolicy guza piętowego, związany z odkładaniem się złogów wapnia w najbardziej obciążanych fragmentach rozcięgna oraz tylnej części kości piętowej. Pojawiający się ból pięty wynika przede wszystkim z reakcji zapalnej w tkankach miękkich i postępującej degradacji rozcięgna, a dopiero w dalszym etapie z obecności samej narośli kostnej. Pacjenci często nie zdają sobie sprawy, że uporczywy, punktowy ból w okolicy pięty pojawia się jeszcze zanim widoczna będzie typowa narośl w badaniach obrazowych

Objawy ostrogi piętowej
Ból pięty w przebiegu ostrogi piętowej najczęściej opisywany jest jako uczucie ukłucia gwoździem lub szpilką pod stopą, szczególnie podczas stawiania pierwszych kroków po wstaniu z łóżka. Dolegliwości mogą mieć też charakter tępy, nasilać się przy dłuższym chodzeniu, przetaczaniu stopy oraz po intensywniejszej aktywności fizycznej. Nierzadko ból stopniowo ogranicza ruchomość w okolicy pięty i skłania pacjenta do chodzenia na palcach lub po zewnętrznej krawędzi stopy, aby unikać obciążania bolesnego miejsca.
Typowe objawy ostrogi piętowej to:
- ból pod stopą, najczęściej pod piętą, wyraźnie nasilający się przy chodzeniu, szczególnie w pierwszej fazie poruszania i po dłuższym odpoczynku,
- ból pojawiający się przy ucisku pięty w określonym, punktowym miejscu,
- narastające dolegliwości bólowe, które z czasem mogą pojawiać się także w spoczynku, np. w nocy.
Warto pamiętać, że nie każdy ból stopy w śródstopiu lub okolicy pięty oznacza od razu obecność ostrogi piętowej, dlatego konieczne jest prawidłowe rozpoznanie oparte na wywiadzie, badaniu przedmiotowym i diagnostyce obrazowej (USG, RTG).

Przyczyny powstawania ostrogi piętowej
Ból pięty w przebiegu ostrogi piętowej najczęściej opisywany jest jako uczucie ukłucia gwoździem lub szpilką pod stopą, szczególnie podczas stawiania pierwszych kroków po wstaniu z łóżka. Dolegliwości mogą mieć też charakter tępy, nasilać się przy dłuższym chodzeniu, przetaczaniu stopy oraz po intensywniejszej aktywności fizycznej. Nierzadko ból stopniowo ogranicza ruchomość w okolicy pięty i skłania pacjenta do chodzenia na palcach lub po zewnętrznej krawędzi stopy, aby unikać obciążania bolesnego miejsca.
Typowe objawy ostrogi piętowej to:
- ból pod stopą, najczęściej pod piętą, wyraźnie nasilający się przy chodzeniu, szczególnie w pierwszej fazie poruszania i po dłuższym odpoczynku,
- ból pojawiający się przy ucisku pięty w określonym, punktowym miejscu,
- narastające dolegliwości bólowe, które z czasem mogą pojawiać się także w spoczynku, np. w nocy.
Warto pamiętać, że nie każdy ból stopy w śródstopiu lub okolicy pięty oznacza od razu obecność ostrogi piętowej, dlatego konieczne jest prawidłowe rozpoznanie oparte na wywiadzie, badaniu przedmiotowym i diagnostyce obrazowej (USG, RTG).

Przyczyny powstawania ostrogi piętowej
Rozcięgno podeszwowe jest stale obciążane podczas stania, chodzenia, biegania i skakania, dlatego sposób poruszania się, dobór obuwia oraz ogólny styl życia mają duże znaczenie w rozwoju ostrogi piętowej. Dolegliwość ta częściej dotyczy kobiet, co wiąże się m.in. z noszeniem ciasnego obuwia i butów na wysokim obcasie, niekorzystnie wpływających na mechanikę stopy i przeciążenia w okolicy pięty.
Ostroga piętowa najczęściej pojawia się u osób w wieku 40–60 lat, kiedy naturalne procesy regeneracji słabną, a cały system amortyzacji nerwowo‑mięśniowej pracuje mniej wydajnie.
Leczenie ostrogi piętowej
W przypadku uporczywego bólu stopy warto jak najszybciej zgłosić się do lekarza lub fizjoterapeuty, aby ustalić przyczynę dolegliwości i wdrożyć odpowiednie leczenie ostrogi piętowej. Sam proces terapeutyczny jest zwykle długotrwały, wymaga konsekwencji i cierpliwości, a poprawa może następować stopniowo w ciągu kilku miesięcy.
Na początku postępowania często stosuje się leki przeciwzapalne (czasem także preparaty hormonalne), podawane doustnie lub w postaci iniekcji, fonoforezy czy jonoforezy, których zadaniem jest ograniczenie stanu zapalnego i złagodzenie bólu. Nie można jednak ograniczać terapii jedynie do środków przeciwbólowych czy radioterapii, ponieważ takie postępowanie przynosi tylko krótkotrwałą ulgę i nie usuwa przyczyny problemu. Po odstawieniu leków objawy zwykle nawracają, a choroba może dalej postępować.

Skuteczna rehabilitacja ostrogi piętowej opiera się na ścisłej współpracy pacjenta z fizjoterapeutą oraz modyfikacji codziennych nawyków. Już od początku leczenia należy odciążać bolesną piętę, zadbać o wygodne, stabilne obuwie i rozważyć stosowanie wkładek ortopedycznych lub podkładek pod pięty. Bardzo ważne są odpowiednio dobrane ćwiczenia rozciągające łydkę i rozcięgno podeszwowe oraz proste ćwiczenia gimnastyczne stóp.
Dobre efekty przynoszą masaże stóp wykonywane twardą piłeczką, piłeczką z wypustkami, butelką z wodą, specjalnymi masażerami lub manualnie poprzez głębokie rozcieranie rozcięgna podeszwowego. Wśród zabiegów fizykalnych stosowanych przy leczeniu ostrogi piętowej znajdują się m.in. ultradźwięki, pole magnetyczne oraz krioterapia, które pomagają zmniejszyć ból i stan zapalny.
Godne uwagi są również fonowanie oraz terapia falą uderzeniową (ESWT). Fonowanie polega na przekazywaniu mikrowibracji za pomocą urządzenia (np. Vitafon) i może być wykonywane także w warunkach domowych. Fala uderzeniowa przeprowadzana jest ambulatoryjnie, ma za zadanie rozbić zwyrodniałą narośl kostną, pobudzić procesy regeneracyjne i odbudowę tkanek, a pierwsze wyraźne efekty wielu pacjentów odczuwa już po 2–3 zabiegach. W części przypadków po serii około pięciu zabiegów możliwe jest uzyskanie trwałej, istotnej poprawy lub całkowite ustąpienie dolegliwości bólowych związanych z ostrogą piętową.
Elżbieta Czajkowska, mgr Fizjoterapii
Artykuły, które mogą Cię zainteresować

Rwa Kulszowa
Rwa kulszowa (z łac. ischias) to zespół bólowy powstały na skutek podrażnienia największego nerwu w ciele człowieka jakim jest nerw kulszowy. Ból promieniuje od okolicy lędźwiowo-k...